Dental Smile Gallery in Livingston

Dentistry Before and After Photos

before

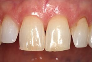
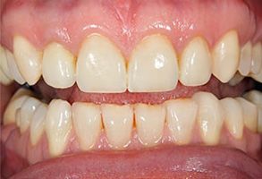
Before

Dental Artistry of Livingston | Preventative Program, Dental Bridges and Oral Exams

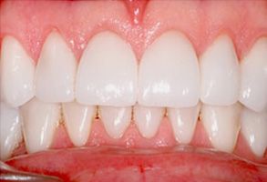
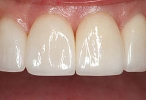
After

Dental Artistry of Livingston | Dental Cleanings, Dental Fillings and Dentures

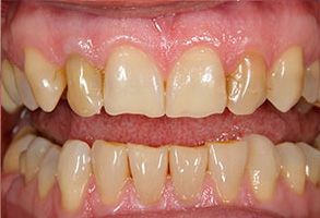
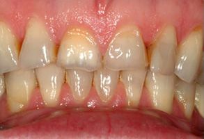
Before

Dental Artistry of Livingston | Pediatric Dentistry, Night Guards and Teeth Whitening

After

Dental Artistry of Livingston | Preventative Program, Crowns  amp  Caps and Implant Dentistry

Before

Dental Artistry of Livingston | Veneers, Dental Bridges and Preventative Program

After

Dental Artistry of Livingston | Dental Bridges, Night Guards and Dentures

Before

Dental Artistry of Livingston | Dental Bridges, Dental Fillings and Emergency Treatment

After

Dental Artistry of Livingston | Veneers, Dental Bridges and Oral Exams

Before

Dental Artistry of Livingston | Crowns  amp  Caps, Cosmetic Dentistry and Preventative Program

After

Dental Artistry of Livingston | Crowns  amp  Caps, Night Guards and Dental Fillings

Before

Dental Artistry of Livingston | Emergency Treatment, Cosmetic Dentistry and Pediatric Dentistry

After

Dental Artistry of Livingston | Cosmetic Dentistry, Crowns  amp  Caps and Pediatric Dentistry

Before

Dental Artistry of Livingston | Preventative Program, Night Guards and Implant Dentistry

After

Schedule a visit today!
Contact Us
Submit

Thank You!

We appreciate you taking the time to visit our site. We'll review your message and be in touch with you soon.

Continue
Pediatric Dentist in Livingston